cover_image

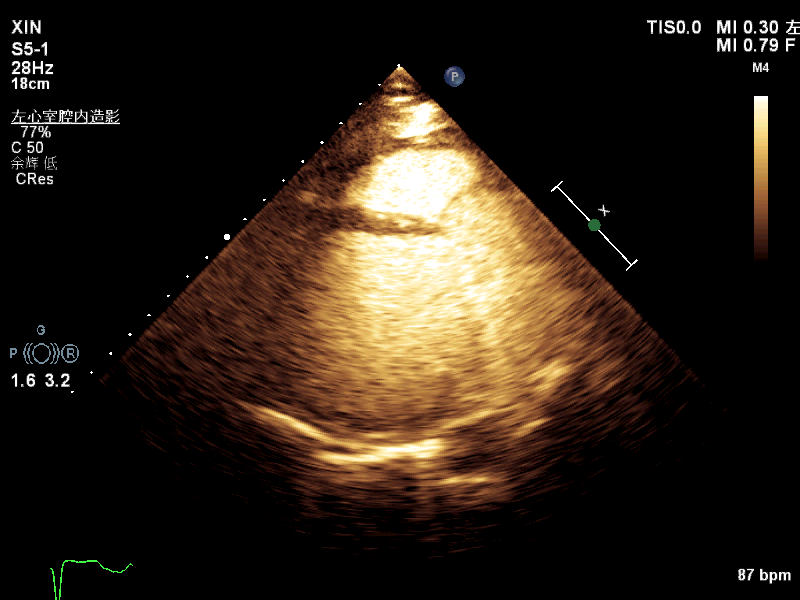
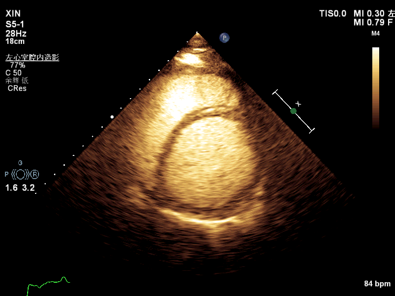
【特色診療】超聲心動圖及左心聲學(xué)造影評估化療藥物相關心髒毒性

鄭曉偉 林長(cháng)裕 普甯現代醫院
繼續滑動看下一個
向(xiàng)上滑動看下一個